편도결석 제거법 TOP 5
- 카테고리 없음
- 2024. 4. 9. 15:03
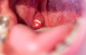
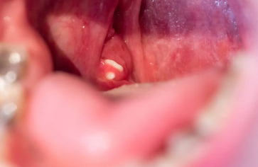
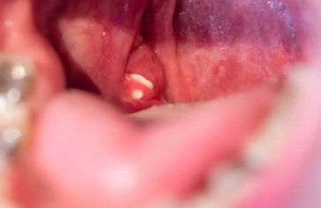
편도결석 제거법 TOP 5에 대해서 알아보겠습니다. 편도결석의 주된 증상으로는 입 냄새와 이물감을 주된 증상으로 하며, 때로는 목의 불편함이나 통증을 동반하기도 하기때문에 빠른 치료로 편도결석을 제거하는것이 중요합니다.지금부터 편도결석이 생기는 원인과 편도결석 제거법 예방을 위한 팁까지 알아보겠습니다.
편도결석의 원인



편도결석, 또는 편도석은 편도선에 생기는 작은 결석으로, 주로 음식물 찌꺼기, 세균, 백혈구, 지방산 등이 뭉쳐서 형성됩니다. 이러한 결석은 대부분의 경우 자연스럽게 배설되지만, 때로는 편도선 내부에 뭉쳐서 큰 덩어리를 이루기도 합니다. 편도결석은 특히 입 냄새와 이물감을 유발하는 것으로 알려져 있으며, 이는 사회생활에 불편함을 줄 수 있습니다. 그렇다면, 편도결석의 주요 원인은 무엇일까요? 편도결석의 대표적인 원인 5가지를 알아보겠습니다.
입냄새 제거방법 추천 BEST 7
입냄새 제거방법 추천 BEST 7 오늘은 입냄새 제거방법에 대해 알아보겠습니다. 입냄새는 많은 사람들이 공통적으로 겪는 문제입니다. 입냄새는 자신의 건강 상태나 식습관, 구강 위생 등에 영향
soto.hello95.com
입냄새 심한이유 10가지 총정리
입냄새 심한 이유 10가지 총정리 입냄새는 사람들과 대화할 때 매우 민감한 문제입니다. 입냄새가 심하면 자신감이 떨어지고 대인관계에도 영향을 줄 수 있습니다. 그렇다면 입냄새가 심해지는
soto.hello95.com
1. 만성 편도염
만성 편도염은 편도결석의 가장 흔한 원인 중 하나입니다. 편도염이 반복되면 편도선의 작은 구멍인 '편도와'가 커지게 되고, 이곳에 음식물 찌꺼기가 끼어 세균이 번식하기 좋은 환경이 만들어집니다.
2. 구강 건조
침 분비가 충분하지 않을 때, 구강 내 세균과 입자가 쉽게 결합하여 편도결석을 형성할 수 있습니다. 구강 건조는 편도결석 형성에 큰 영향을 미칩니다.
3. 식습관 및 생활 습관
일부 음식물이나 음료가 편도결석 형성에 기여할 수 있으며, 흡연이나 과도한 음주도 구강 환경을 변화시켜 편도결석을 유발할 수 있습니다.
4. 구강 위생 불량
정기적인 양치질을 하지 않거나, 구강 위생이 불량한 경우 편도결석이 생길 가능성이 높아집니다. 구강 위생을 청결하게 유지하는 것이 중요합니다.
5. 후비루
비염이나 부비동염으로 인해 콧물이 목 뒤로 넘어가는 후비루가 있는 경우, 편도결석 발생 가능성이 높아집니다.
편도결석을 예방하고 관리하기 위해서는 규칙적인 구강 위생 관리와 건강한 생활 습관을 유지하는 것이 중요합니다. 또한, 편도결석이 발견되면 이비인후과 전문의와 상담하여 적절한 치료를 받는 것이 좋습니다. 편도결석은 대부분의 경우 심각한 건강 문제를 일으키지는 않지만, 입 냄새와 불편함을 줄 수 있으므로, 적절한 관리와 치료가 필요합니다.
편도결석 제거법 TOP 5



편도결석을 효과적으로 제거할수있는 방법 5가지를 소개하겠습니다.
1. 소금물 가글


소금물 가글은 편도결석 제거에 있어 가장 간단하면서도 효과적인 방법 중 하나입니다. 이 방법은 편도선의 염증을 줄이고, 입안의 세균을 제거하는 데 도움을 줍니다. 소금은 자연적인 항균성분을 가지고 있어, 입안의 불순물과 세균을 씻어내는 데 유용합니다. 가글을 할 때는 따뜻한 물에 소금을 풀어 사용하며, 하루에 여러 번 반복하는 것이 좋습니다. 가글은 편도결석뿐만 아니라 목의 통증이나 감염에도 도움이 될 수 있습니다.
2. 면봉 사용


면봉을 사용하는 방법은 편도결석을 직접적으로 제거하는 방법입니다. 면봉의 부드러운 끝을 사용하여 편도선의 구멍에 쌓인 결석을 조심스럽게 밀어내는 방식입니다. 이 방법은 직접적으로 결석을 제거할 수 있다는 장점이 있지만, 편도선을 자극하거나 손상시킬 위험이 있으므로, 매우 조심스럽게 수행해야 합니다. 면봉 사용 시에는 거울을 이용하여 정확한 위치를 확인하고, 너무 깊숙이 넣지 않도록 주의해야 합니다.
3. 구강세정기 사용


구강세정기는 물을 분사하여 편도결석을 제거하는 기기입니다. 구강세정기의 강한 물줄기는 편도선의 구멍에 낀 결석을 효과적으로 제거할 수 있습니다. 이 방법은 면봉을 사용하는 것보다 편도선에 덜 자극적이며, 사용하기도 편리합니다. 구강세정기를 사용할 때는 압력을 조절하여 편도선에 손상을 주지 않도록 주의해야 합니다.
4. 항생제 치료


항생제 치료는 편도결석의 원인이 되는 박테리아를 억제하는 방법입니다. 항생제는 의사의 처방에 따라 사용해야 하며, 임의로 사용하지 않는 것이 중요합니다. 항생제는 편도결석을 직접적으로 제거하는 것이 아니라, 결석을 형성하는 박테리아의 성장을 억제하여 장기적으로 결석의 형성을 줄이는 데 도움을 줍니다.
5. 편도 절제술


편도 절제술은 재발하는 편도결석이나 만성 편도염이 있는 경우 고려할 수 있는 외과적인 방법입니다. 이 수술은 편도선을 완전히 제거함으로써 편도결석의 재발을 방지합니다. 편도 절제술은 일반적으로 마취 하에 진행되며, 수술 후에는 일정 기간 회복이 필요합니다. 편도 절제술은 다른 방법으로 편도결석을 관리하는 데 어려움을 겪는 경우에 선택할 수 있습니다.
편도결석 제거 방법에 대한 자세한 정보는 위와 같습니다. 각 방법은 개인의 상황과 건강 상태에 따라 적합성이 달라질 수 있으므로, 전문가의 조언을 구하는 것이 중요합니다.
편도결석 예방법






1. 적절한 수분 섭취
충분한 수분 섭취는 편도선을 촉촉하게 유지하고, 분비물이 농축되는 것을 방지합니다. 하루에 8잔의 물을 마시는 것이 일반적으로 권장됩니다.
2. 구강 위생 유지
정기적인 양치질과 치실 사용은 음식 찌꺼기와 세균이 편도선에 축적되는 것을 방지합니다. 특히 식사 후에는 양치질을 해서 음식물이 편도선에 남지 않도록 하는 것이 중요합니다.
3. 금연 및 음주 제한
담배 연기와 알코올은 구강 건조를 유발하고, 편도선의 자연적인 청소 기능을 방해할 수 있습니다. 금연과 적당한 음주는 편도결석 예방에 도움이 됩니다.
4. 적절한 가글 사용
항균 성분이 포함된 가글액을 사용하면 편도선 주변의 세균을 줄이고, 편도결석 형성을 예방할 수 있습니다. 가글은 특히 양치 후에 하는 것이 좋습니다.
5. 정기적인 이비인후과 검진
이비인후과 전문의는 편도결석의 징후를 조기에 발견하고 적절한 조치를 취할 수 있습니다. 정기적인 검진은 편도결석 뿐만 아니라 다른 구강 건강 문제를 예방하는 데에도 도움이 됩니다.
편도결석은 대부분의 경우 심각한 건강 문제를 일으키지는 않지만, 입 냄새와 불편함을 유발할 수 있습니다. 위의 예방법들을 실천함으로써 편도결석의 위험을 줄이고, 구강 건강을 향상시킬 수 있습니다. 더 자세한 정보와 조언을 원한다면 이비인후과 전문의와 상담하는 것이 좋습니다.