편도결석 제거법,원인
- 카테고리 없음
- 2024. 1. 15. 15:42
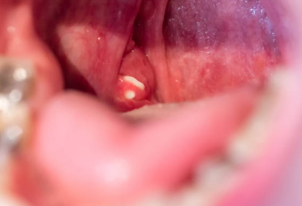
편도결석 제거법, 원인에 대해서 알아보겠습니다. 편도결석이란 편도선에 있는 작은 구멍에 음식물 찌꺼기와 세균이 뭉쳐서 생기는 쌀알 크기의 작은 노란 알맹이를 말합니다. 편도결석은 주로 구취, 목에 무언가 걸린 느낌, 인두염, 삼키기 어려움, 귀의 통증 등의 증상을 유발합니다. 편도결석은 만성 편도염, 구강 위생 부족, 비염, 부비동 문제 등의 원인으로 발생할 수 있습니다.
편도결석 원인



편도결석의 원인은 다음과 같습니다.
- 만성 편도염: 편도염을 자주 앓으면 편도에 있는 작은 구멍이 커지게 되는데, 이곳에 음식물 찌꺼기가 끼게 되면 세균이 번식하기 좋은 환경이 만들어집니다.
- 구강 위생 부족: 양치질을 제때 하지 않아 구강 상태가 깨끗하지 않거나, 콧물이 목뒤로 자주 넘어가는 후비루가 있는 경우 편도결석 발생 가능성이 높습니다.
- 구강 건조: 입에 침이 부족한 경우에도 입속 음식물을 충분히 씻어내지 못하여 편도결석이 잘 생깁니다.
편도결석 증상


편도결석의 증상은 다음과 같습니다.
- 입 냄새: 편도결석은 심한 악취를 풍깁니다. 양치질과 가글을 해도 쉽게 사라지지 않는 냄새의 정체는 편도결석일 가능성이 높습니다.
- 목의 이물감: 편도결석은 목에 무언가 걸린 듯한 느낌을 유발합니다. 삼키기 어려움, 인두염, 귀의 통증 등을 동반할 수 있습니다.
편도결석 제거방법



편도결석 제거법은 가정에서 할 수 있는 요법부터 병원에서 시행하는 의료 시술까지 다양합니다. 일반적으로 알려진 편도결석 제거 방법은 다음과 같습니다.
- 편도결석 제거기 사용하기: 저압 물 세척이 가능한 편도결석 제거기를 사용하면 편도에 박혀있는 결석을 빼는 데 도움이 될 수 있습니다. 편도결석 제거기는 인터넷이나 약국에서 구매할 수 있으며, 사용 방법은 제품마다 다르므로 구입 전에 확인해야 합니다.
- 구강청결제로 정기적으로 가글 하기: 구강청결제는 세균을 죽이고 구강 내부를 청결하게 유지하는 데 도움이 됩니다. 특히 산소를 공급하는 구강청결제는 편도결석의 원인인 부패한 음식 문제를 해결하는 데 효과적입니다.
- 소금물 가글로 제거하기: 소금물로 가글을 하면 목의 불편함을 완화하고 편도결석을 제거하는 데 도움이 될 수 있습니다. 또한 편도결석으로 인한 악취 제거에도 도움이 됩니다. 따뜻한 물 200g에 소금 1/2 티스푼을 넣어서 가글을 해보세요.
- 애플 사이다 식초 가글: 애플 사이다 식초는 세균을 죽이고 염증을 줄여주는 자연적인 항생제 역할을 합니다. 애플 사이다 식초 1스푼과 따뜻한 물 1컵을 섞어서 가글을 해보세요.
- 면봉으로 제거하기: 면봉으로 편도결석을 부드럽게 밀어내는 방법입니다. 면봉은 물에 담가서 사용하면 자극을 최소화할 수 있습니다. 면봉으로 결석을 밀 때 출혈이나 감염의 위험이 있으므로 매우 조심해야 합니다.
- 강한 기침으로 제거하기: 강한 기침으로 편도결석을 밖으로 밀어내는 방법입니다. 기침을 할 때 입을 벌리고 목을 힘껏 놓아주면 편도결석이 빠져나올 수 있습니다.
편도결석 예방법
- 구강 위생을 청결하게 유지하기: 양치질을 자주 하고, 혀 뒤쪽까지 꼼꼼하게 닦는 등 구강 위생을 청결하게 유지하는 것이 중요합니다. 구강 내부에 세균이 잘 번식하지 않도록 하면 편도결석의 발생 가능성을 줄일 수 있습니다.
- 물을 자주 마시기: 물을 자주 마시면 입안에 침이 부족하지 않게 되고, 침은 음식물 찌꺼기를 씻어내는 역할을 합니다. 또한 물은 목의 건조함을 방지하고 염증을 완화하는 데 도움이 됩니다.
- 담배를 피우지 않기: 담배는 구강 내부의 세균 번식을 촉진하고, 편도에 염증을 일으키는 원인이 됩니다. 담배를 피우면 편도결석의 재발 위험이 높아지므로 금연하는 것이 좋습니다.
- 식사 후에 양치질하기: 식사 후에 양치질을 하면 입안에 남아있는 음식물 찌꺼기를 제거할 수 있습니다. 음식물 찌꺼기가 편도에 남아있으면 편도결석의 원인이 되므로 식사 후에는 반드시 양치질을 해야 합니다.
- 양치 후에 가글액으로 가글 하기: 양치 후에 항균 성분이 포함된 가글액으로 가글을 하면 입안의 세균을 제거하고, 편도결석으로 인한 악취를 줄일 수 있습니다. 가글액은 약국이나 마트에서 구매할 수 있습니다.