편도결석 빼는법 추천 BEST 5
- 카테고리 없음
- 2024. 2. 3. 16:02
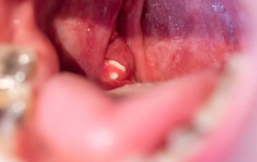
편도결석 빼는법 추천 BEST 5 편도결석이란 편도에 있는 작은 구멍에 음식물 찌꺼기와 세균이 뭉쳐서 생기는 쌀알 크기의 작은 노란 알맹이를 말합니다. 편도결석은 입 냄새와 이물감이 주된 증상이기에 그냥 방치해도 심각한 문제를 일으키지 않지만 주변 사람에게 입 냄새로 인한 불쾌감을 주어 대인관계에 어려움을 겪을 수 있기 때문에 적절한 방법으로 제거하는 것이 필요합니다.
편도결석 생기는 원인


편도결석의 주요 원인은 만성 편도염입니다. 편도염을 자주 앓으면 편도에 있는 작은 구멍인 편도와가 커지게 되고, 여기에 음식물 찌꺼기가 끼면 세균이 번식하기 좋은 환경이 됩니다. 세균이 음식물 찌꺼기와 뭉치면 편도결석이 형성됩니다. 편도결석은 다음과 같은 경우에 잘 생길 수 있습니다.
- 구강 위생이 부족한 경우: 양치질을 제대로 하지 않거나, 혀 뒤쪽을 닦지 않으면 입안에 세균이 증식하고, 음식물 찌꺼기가 쉽게 남아 편도결석을 만들 수 있습니다.
- 콧물이 많은 경우: 콧물이 목 뒤로 자주 넘어가면 편도와에 끼고, 세균과 결합하여 편도결석을 형성할 수 있습니다.
- 침이 부족한 경우: 침은 입안의 세균을 억제하고, 음식물 찌꺼기를 씻어내는 역할을 합니다. 침이 부족하면 입안에 세균이 증가하고, 음식물 찌꺼기가 잘 제거되지 않아 편도결석이 생길 수 있습니다.
편도결석 증상


편도결석의 가장 대표적인 증상은 입 냄새입니다. 편도결석은 부패한 음식물과 세균으로 이루어져 있기 때문에 매우 고약한 냄새를 내며, 이 냄새는 양치질이나 가글로도 쉽게 없앨 수 없습니다. 편도결석은 다음과 같은 증상을 동반할 수 있습니다.
- 목의 이물감: 편도결석이 커지면 목 안쪽에 뭔가 걸린 듯한 느낌이 들 수 있습니다. 침을 삼킬 때나 기침할 때 목에 압박감이나 간질간질함을 느낄 수 있습니다.
- 편도염: 편도결석은 세균의 증식을 촉진하고, 편도에 염증을 일으킬 수 있습니다. 편도염이 생기면 목이 아프고, 열이 나고, 편도가 붓고 붉어지며, 가래가 나올 수 있습니다.
- 귀 통증: 편도결석은 귀와 연결된 신경을 자극하여 귀에 통증을 유발할 수 있습니다. 귀 통증은 편도결석이 있는 쪽에만 나타날 수도 있고, 양쪽에 모두 나타날 수도 있습니다.
편도결석 빼는법 BEST 5



이 글에서는 편도결석 원인과 증상을 살펴보고 이에 대한 편도결석 제거 방법을 자세히 알아보겠습니다.
1. 소금물 가글


소금물로 가글을 하면 목의 불편함을 완화하고 편도결석을 제거하는 데 도움이 될 수 있습니다. 또한 편도결석으로 인한 악취 제거에도 도움이 됩니다. 따뜻한 물 200g에 소금 1/2 티스푼을 넣어서 가글을 해보세요.
2. 셀프 제거


칫솔과 같은 딱딱한 도구로 결석을 제거하면 편도선에 손상을 줄 수 있습니다. 편도선은 연약한 조직으로 이루어져 있기 때문에 부드럽게 제거하는 것이 중요합니다. 편도결석은 자칫 잘못 제거하면 출혈이나 감염과 같은 합병증으로 이어질 수 있습니다. 따라서 집에서 스스로 직접 제거를 한다면 칫솔보다는 면봉을 사용하여 부드럽게 제거하는 것이 좋습니다.
3. 구강 세정기


편도결석은 워터픽과 같은 구강세정기를 이용하여 간편하게 제거할 수 있습니다. 단, 구강세정기를 이용할 때는 강도를 낮게 설정한 후 사용하는 것이 좋습니다.
4. 항생제


항생제는 편도결석의 발생과 성장에 관여하는 박테리아를 억제하는 데 효과적입니다. 다만, 증상이 사라진 이후에도 처방된 기간 동안은 박테리아가 완전히 사멸되기 전까지 꾸준하게 복용해야 합니다.
5. 편도 절제술


편도결석은 재발 위험이 높은 증상인 만큼 셀프로 제거하기 보다 가급적이면 이비인후과에 방문하여 소독된 의료 도구를 통해 안전하게 제거하는 것이 좋습니다.
간혹 일부러 기침을 하거나 헛구역질을 유발하여 결석을 빼내는 경우가 있는데, 이런 경우 위산이 역류하면서 역류성 식도염으로 이어지거나 목이 상할 수 있습니다.
또한 손가락이나 면봉, 편도결석 제거기 등으로 제거하는 경우에도 되려 편도에 염증을 일으키거나, 편도 구멍의 크기를 키워서 이후에는 더 큰 결석을 형성할 수 있어 주의하는 것이 좋습니다. 한 해 동안 항생제 치료가 필요한 편도염을 5~6회 이상 앓았거나
매년 3회 이상 편도염을 앓고 있는 경우에 시행하는 것이 좋습니다. 편도 절제술은 전신 마취하에 시행되며, 수술 후 하루 정도는 입원을 하게 됩니다. 수술 후 2주간은 뜨겁고 맵고 짠 자극적인 음식보다 수술 후 합병증의 위험을 줄이기 위해 찬 죽과 같은 음식을 섭취해야 합니다.